An Unbiased View of Fibromyalgia: MedlinePlus Genetics

Pin on Lipo/Lymphedema, My Dreaded Genetic Disease with a little Fibromyalgia and Osteoarthritis kicked in.
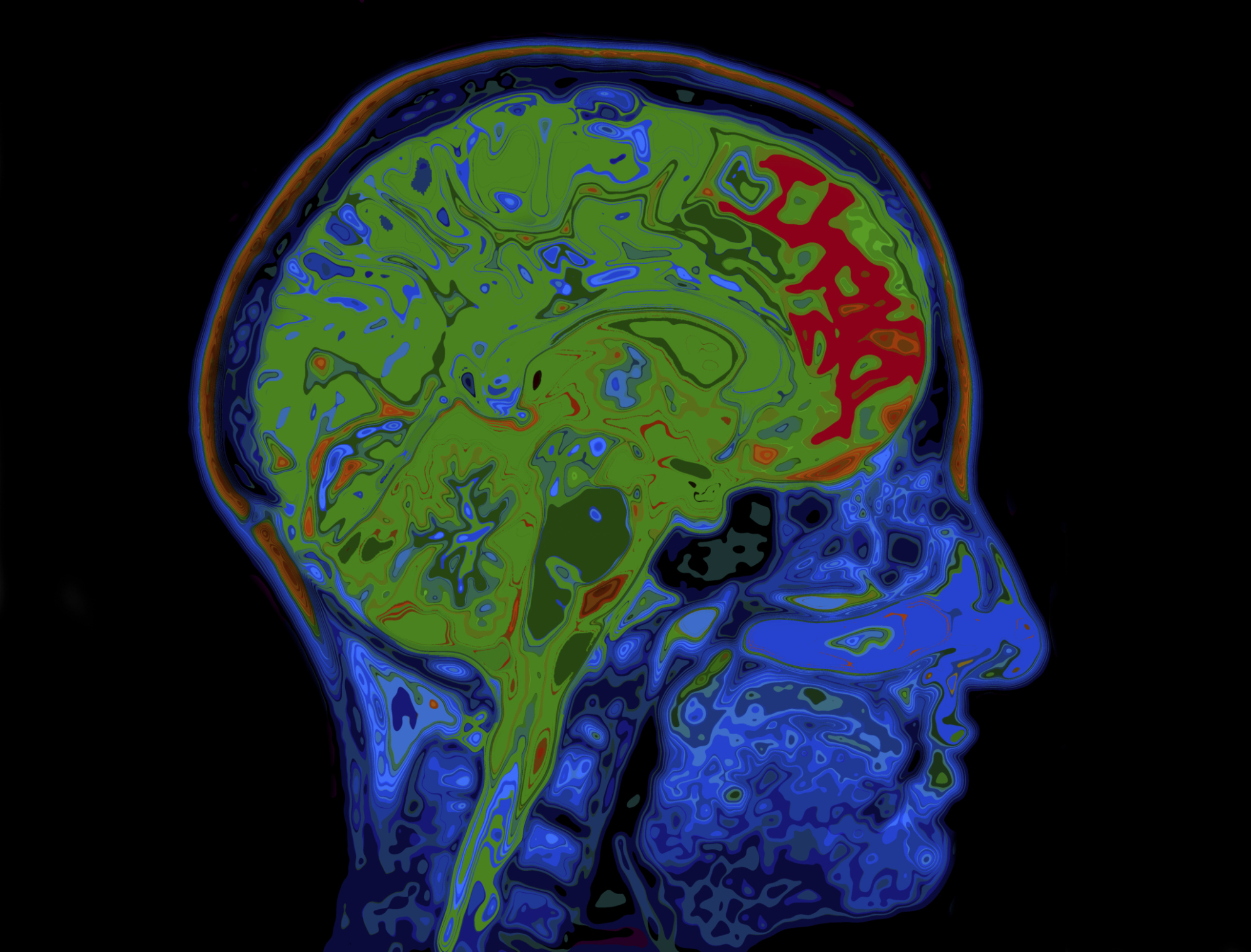
How Fibromyalgia has central nervous system origins - ScienceDaily can Save You Time, Stress, and Money.
Some mild exercises may help in reducing muscle stress, but it's most likely best to avoid energetic exercise too close to bedtime. Keep a notepad by your bed if you think about something you need to do the next day, write it down and after that put it out of your mind. Prevent caffeine in the eight hours before you go to bed.

Avoid eating main meals near to bedtime. If you smoke, try to stop cigarette smoking, or at least do not smoke near bedtime. Try not to sleep throughout Read More Here . Prevent watching TV and using computer systems, tablets or mobile phones in your bed room. Don't keep checking the time throughout the night. What else can I do? Due to the fact that fibromyalgia differs from person to individual, we recommend you attempt a few of the following suggestions to discover out what works for you: Discover about fibromyalgia understanding your condition can help in reducing your worries and anxiety.

Treatment Approaches for Fibromyalgia
Find an assistance group in your location or an online forum for people with fibromyalgia. Speaking about your experiences with other individuals who understand can help. Encourage your family and friends to read more about your condition and to talk to you about it. You might show them this info.
The 20-Second Trick For Identification of MOR-Positive B Cell as Possible Innovative
Find methods to discuss your feelings, such as stress and anxiety, low mood or anger. Counselling or CBT can help your GP will be able to refer you. For 'fibro fog', some people find psychological exercises like crosswords or jigsaw puzzles help. Do as much as you can to promote your brain.
Describe to others if fibromyalgia impacts your memory. Learn to speed yourself by breaking jobs into smaller sized pieces, giving yourself time to rest in between. Tension and distress can make fibromyalgia pain feel worse resolving what's making you feel that way might help. Request for help from people at your office, such as a friend, colleague or manager.
Ask an occupational therapist, your local Jobcentre Plus office or People Suggestions service for recommendations. They can deal with both you and your company. Using heat with a warm water bottle, or having a hot bath or shower, can help pain and improve morning stiffness. If you have a dry mouth, try a toothpaste consisting of salt bicarbonate.
What Does Rehab Arthritis & Fibromyalgia with Aquatic Therapy Pools Mean?
Attempt the treatments your medical professional deals and discuss which ones are practical.